DeChellis & Stonestreet Dentistry
A Great Dentist
Boardman:
(330) 726-8060
Youngstown, OH 44512
Cosmetic Dentistry
A healthy, beautiful smile starts here

Cosmetic Dentistry | Dentist

Cosmetic Dentistry

A beautiful smile can leave a lasting impression on everyone you meet. It is often one of the first things others notice about you. If your smile makes you feel self-conscious or if you have experienced premature wear and damage, you might hesitate to show off your teeth. We can help!

At DeChellis & Stonestreet Dentistry, we create beautiful, natural-looking smiles for our patients! You might be surprised to learn that cosmetic dentistry can not only improve your appearance but can also the improve the comfort and function of your teeth by repairing and strengthening them.

  • Thomas DeChellis DDS

    Before attending the University of Dayton for his undergraduate degree, Dr. Thomas DeChellis attended South Range High School. He attended dental school at The Ohio State University College of Dentistry for his DDS degree.

    Dr. DeChellis ...

    READ MORE
  • Edward Stonestreet DDS

    Dr. Edward Stonestreet graduated McDonald High School in 1999 before attending Bowling Green State University for his undergraduate education. Dr. Stonestreet attended dental school at The Ohio State University College of Dentistry and graduated with ...

    READ MORE

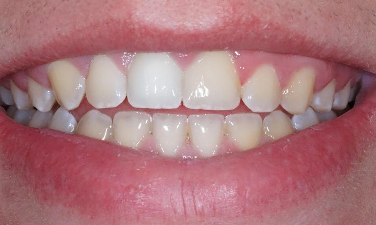
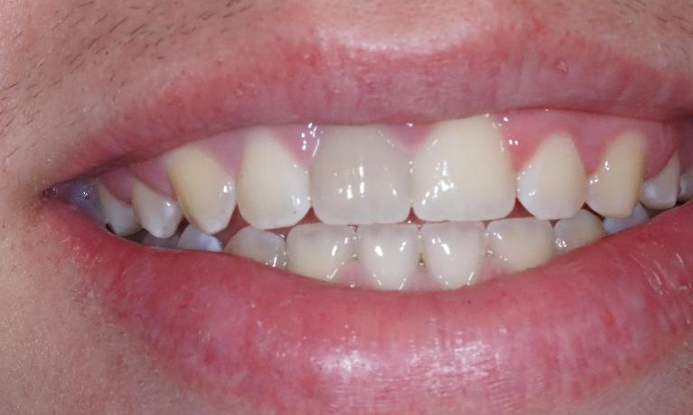
Teeth Whitening

Dentistry today takes into account the function, longevity, and appearance of your smile.

White fillings ensure that a cavity will not leave behind an unsightly restoration. We match the filling material to your natural tooth structure so you can enjoy health and esthetics, even for one of the most common dental conditions – decay.

We use digital x-rays to periodically check for signs of decay that are not visible with the naked eye. By maintaining regular preventive dental appointments, we can often catch it in its earliest stages, when it is easiest to treat.

Protective Porcelain Crowns

Teeth have a tough job! It’s no surprise that they sometimes sustain damage from chewing or teeth grinding.

A crown provides stability to your tooth and absorbs some of the pressure from chewing, making eating comfortable again. We use digital impressions to create a dental crown that fits great without the goopy impression material of the past.

We use a high-quality dental lab in our area for fast turnaround times and great results.

Frequently Asked Questions

We check your fillings at every cleaning appointment to make sure they are still strong and not breaking down. If we notice your silver filling starting to crack or break down we will recommend replacing it with a newer tooth color filling or crown.

Often time’s insurance will pay for at least a portion of your cosmetic treatments depending on the condition of your teeth. We evaluate each patient individually, make a recommendation for the desired cosmetic treatment, and give a pre-treatment estimate of cost including what we expect insurance to cover.

Yes! Even if you do not have dental insurance we offer convenient, low-cost monthly payments through Care Credit. The best part is there is no interest!

 

Porcelain Veneers

If you would really like to change everything about the way your teeth look, porcelain veneers may be the cosmetic dentistry treatment for you!

We can use veneers, a thin, natural-looking restoration, to correct esthetic issues such as chips, gaps, misalignment, deep stains, and shortened teeth. Veneers can also reduce sensitivity and provide the proper structure to your teeth, making eating more comfortable.

Professional Teeth Whitening

It’s natural for teeth to become stained as we age. Coffee, tea, wine, and colorful foods can all cause teeth to darken. If you use tobacco, staining occurs much faster.

Professional teeth whitening provides dramatic results not accessible with over-the-counter teeth whitening methods. Many of our patients enjoy up to eight shades of improvement by the end of their treatment. Teeth whitening can spruce up your smile and make you look younger!

Testimonial

"...Highly recommend this dental office..."

I had two fillings today and I must say it was one of the best experiences I have ever had with fillings. Dr. DeChellis was great, absolutely no pain, didn't even feel the shot in my gum. Highly recommend this dental office.
-Julie D.
See More Testimonials

Full Smile Makeovers

If you have suffered from an auto accident or you have worn your teeth severely, we can create a whole new smile using a combination of dental crowns, fillings, bonding, bridges, dental implants, and porcelain veneers. A full smile makeover, or full mouth reconstruction, offers your natural teeth a second chance!

Contact Us to Learn More about Cosmetic Dentistry

Even if you are just considering making some improvements to your smile, we can help by answering questions and helping you discover the cosmetic dentistry treatments that will work best for you. 

Contact our Columbiana or Boardman dental offices today to schedule a consultation with one of our highly skilled dentists. We look forward to helping you achieve a smile that you truly feel proud to show off!

If you have difficulty using our website, please email us or call us at (330) 726-8060
View the ADA Accessibility Statement