Dental Implant Options
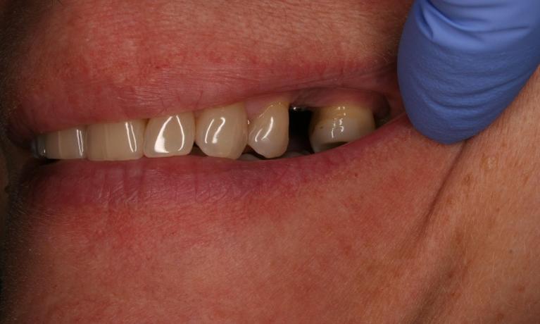
Dental implants can replace one or more missing teeth. We can use single dental implants to replace one or all of your missing teeth. These are standalone prosthetics that do not require any special tools or products for regular care.
If you have multiple missing teeth in a row, we can use a fixed dental bridge in combination with dental implants to replace your missing teeth. Dental implants provide stability for bridges and can help our patients avoid the need for a partial denture. Because dental bridges do require extra care to stay clean, your implant-supported bridge will too.
Implant-supported dentures combine the benefits of dental implants with dentures for additional confidence and security. Placing several (usually two to six) dental implants per arch that “lock in” your dentures can offer the best of both worlds!
Dental Implant Treatment
Dental implant treatment requires a couple of steps.
1. A comprehensive exam will help us determine if you are a good candidate for dental implants. If you need bone grafting to increase your bone density prior to surgery, we will let you know and provide you with options! Most patients are good candidates for dental implants, but some medical conditions or medications may prevent you from dental surgery.
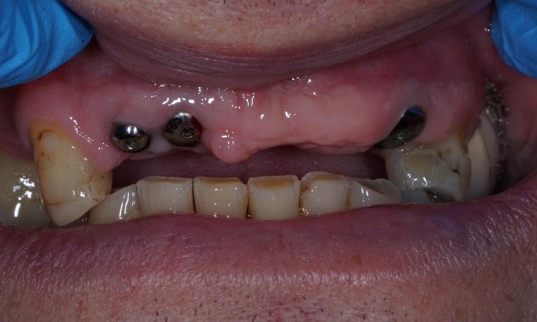
2. If dental implants are a good option for you, we will place your dental implant. This requires surgery, but most patients report it was much easier than they imagined! As you heal, your dental implant will begin to fuse with your bone, creating a stable foundation for your crown. Complete healing usually takes a few months. In some cases, we can restore a dental implant right away.
3. Once you heal, we will create a custom dental crown that matches your existing teeth. This is the part of the implant that will be visible when you smile. Because we take great care creating dental implants for our patients, your smile will look seamless and natural.
