DeChellis & Stonestreet Dentistry
A Great Dentist
Boardman:
(330) 726-8060
Youngstown, OH 44512

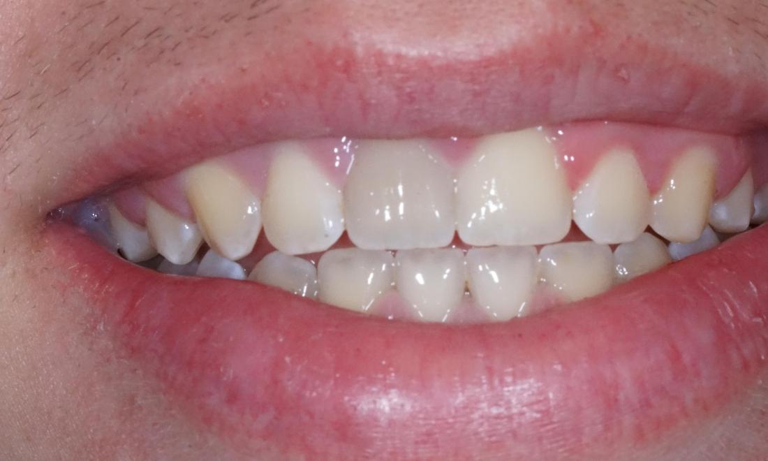
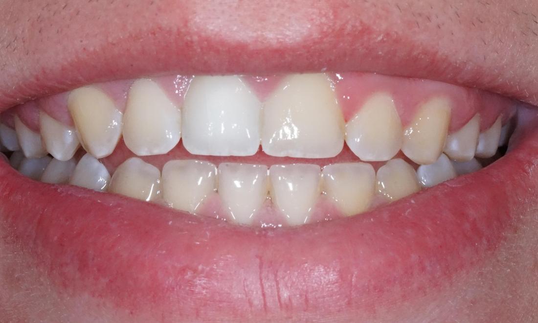
Internal Bleaching

This front tooth was discolored from having root canal treatment. It was bleached from the inside out through a process called internal bleaching.

Related Services:

Cosmetic Dentistry

Service Available At:

Boardman
Columbiana
"...Highly recommend this dental office..."

I had two fillings today and I must say it was one of the best experiences I have ever had with fillings. Dr. DeChellis was great, absolutely no pain, didn't even feel the shot in my gum. Highly recommend this dental office.
-Julie D.

Ready to book an appointment?
If you have difficulty using our website, please email us or call us at (330) 726-8060
View the ADA Accessibility Statement