DeChellis & Stonestreet Dentistry
A Great Dentist
Boardman:
(330) 726-8060
Youngstown, OH 44512
DeChellis & Stonestreet Dentistry
A Great Dentist
Boardman:
(330) 726-8060
Youngstown, OH 44512
Schedule an Appointment
Like us on Facebook
Leave a Google Review
(330) 726-8060
DeChellis & Stonestreet Dentistry
Columbiana:
(330) 482-3155
Columbiana, OH 44408
Home
About
Our Team
Boardman
Columbiana
Technology
Office Pictures
Services
View All
Cosmetic Dentistry
Children's Dentistry
Crowns and Bridges
Dentures
Root Canal Treatment
Preventive Dentistry
Emergency Dentistry
Teeth Whitening
Dental Extractions
Clear Aligners
Dental Implants
Smile Gallery
Patient Info
View Patient Info
Testimonials
Your First Visit
Forms
Financial
FAQs
Contact
View All
Boardman
Columbiana
DeChellis & Stonestreet Dentistry
>
Smile Gallery
>
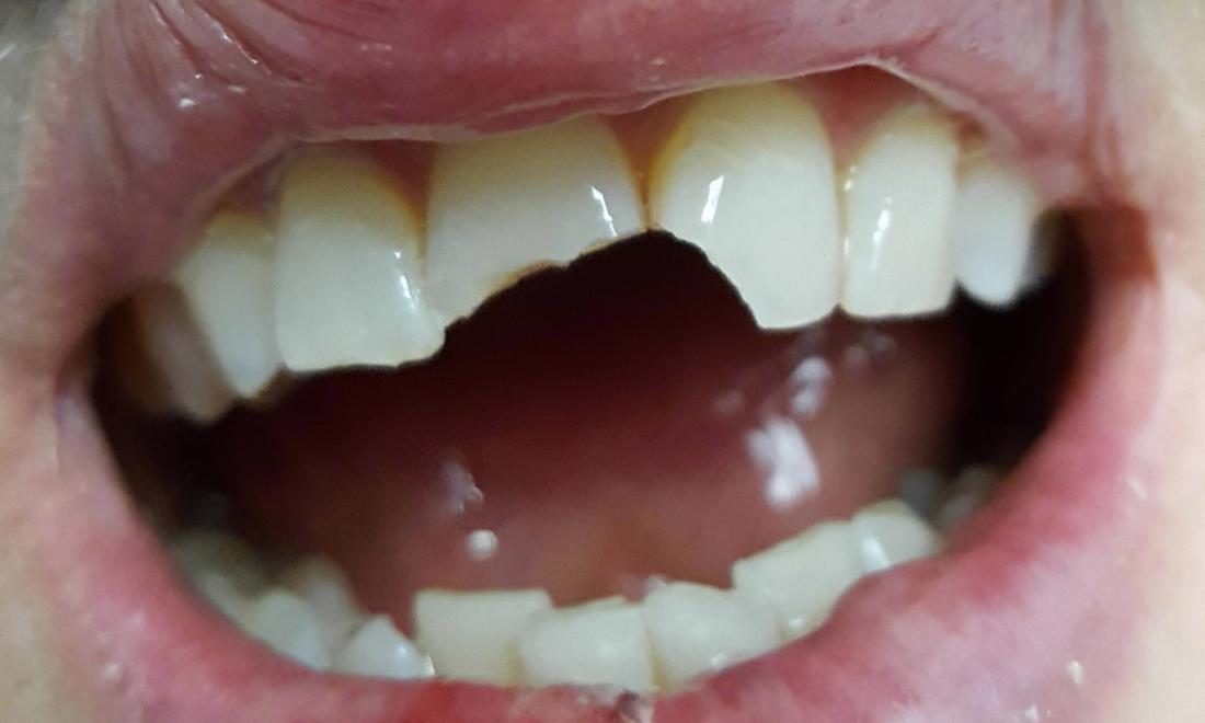
Cosmetic Dentistry - Bonding
Cosmetic Dentistry - Bonding
Return to Smile Gallery
Previous
Next
Before and after of cosmetic bonding following trauma. Teeth were repaired on the same day the trauma occurred.
Related Services:
Cosmetic Dentistry
Performed at:
Boardman
Columbiana
Click image to see a larger picture
Before
After
Getting an appointment is
fast
and
easy
!
Get Started!
If you have difficulty using our website, please
email us
or call us at
(330) 726-8060
View the
ADA Accessibility Statement
Turn on ADA Views
Privacy Policy
OK!
×
×
Contact Us Today
Give Us A Call
Boardman -
(330) 726-8060
Columbiana -
(330) 482-3155
Send Us an Email
Which location?
Boardman
Columbiana
Request an Appointment
Contact Us
Ready to Schedule an Appointment?
Book Online
Have Questions? Contact Us:
Required Field
Your Name:
Phone:
Email:
Are you a new patient?:
Are you a?
New Patient
Current Patient
How would you like us to contact you?
Please choose
Email
Call
How did you hear about us?
Please choose
I'm an existing patient
Google/Bing
Mailer
Word of mouth
Social media
Other
Who Referred You?:
Appointment Preferences
Monday
Tuesday
Thursday
Friday
Your Message:
This site is protected by reCAPTCHA and the Google
Privacy Policy
and
Terms of Service
apply.
Sending...
×
This Patient's Experience
Loading Testimonial...
Loading Case...