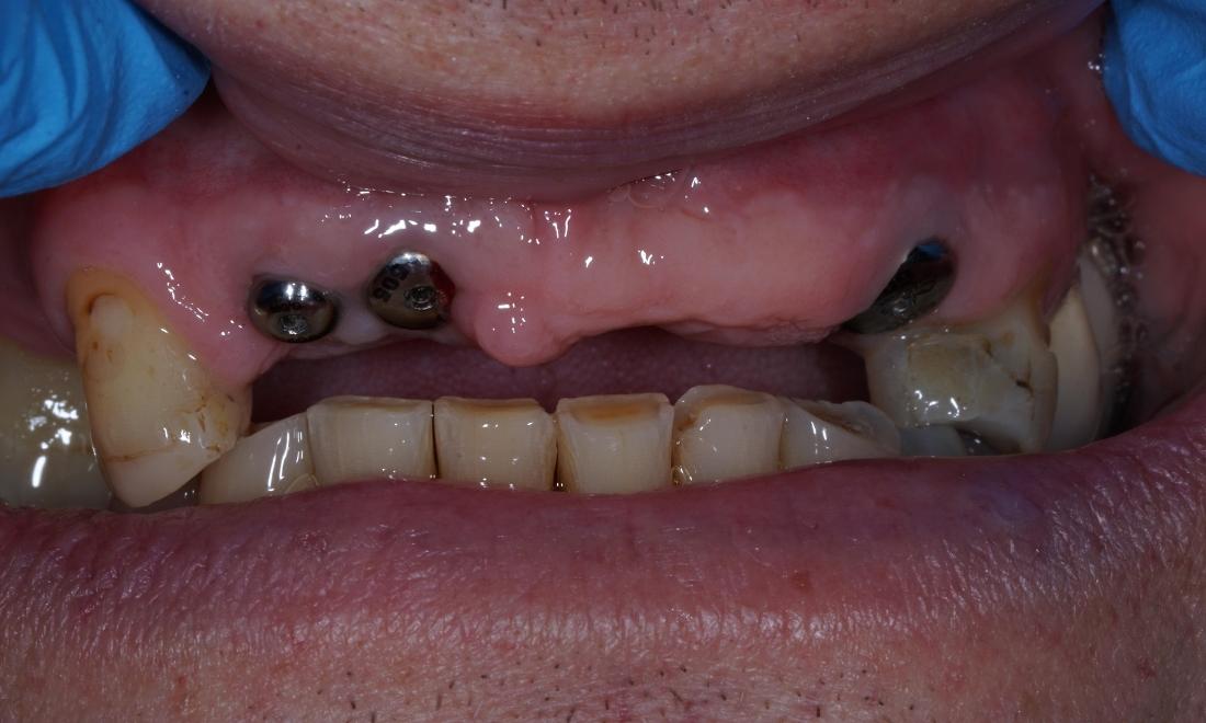
This patient had a bridge in the front over natural teeth which wore out and had to be removed. It was replaced with implants and a new bridge over the implants.
Excellent

Had a crown for the first time, unsure what to expect. Was taken care of by Karen & Dr. Stonestreet. They were very informative very patient, instructed regarding the procedure every step of the way. Also very gentle I was pleasantly surprised. I was anticipating a good deal of pain & happy to say there was none. All of the office staff are always very professional & kind.
-Madelyn O.