DeChellis & Stonestreet Dentistry
A Great Dentist
Boardman:
(330) 726-8060
Youngstown, OH 44512

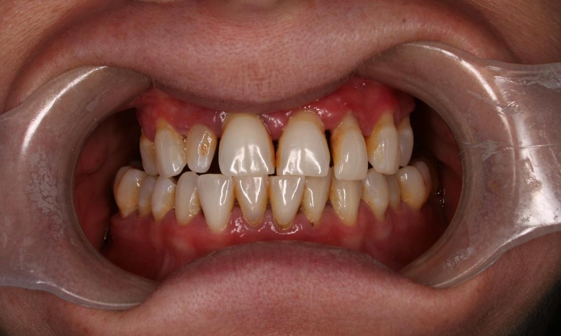
Full Arch Fixed Implant Bridge

This patient suffered from loose teeth and gum disease. She did not want to wear removable dentures. She chose to replace both arches of teeth with fixed zirconia bridges over implants.

Improve your smile today – call to schedule a consultation!
If you have difficulty using our website, please email us or call us at (330) 726-8060
View the ADA Accessibility Statement