DeChellis & Stonestreet Dentistry
A Great Dentist
Boardman:
(330) 726-8060
Youngstown, OH 44512

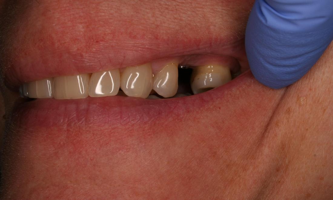
Single Implant

This patient lost an upper left tooth after an old silver filling caused it to split in half. It was replaced with a single implant and crown.

Related Services:

Dental Implants

Performed at:

Boardman
Columbiana
Ready to book an appointment?
If you have difficulty using our website, please email us or call us at (330) 726-8060
View the ADA Accessibility Statement
Privacy Policy