DeChellis & Stonestreet Dentistry
A Great Dentist
Boardman:
(330) 726-8060
Youngstown, OH 44512

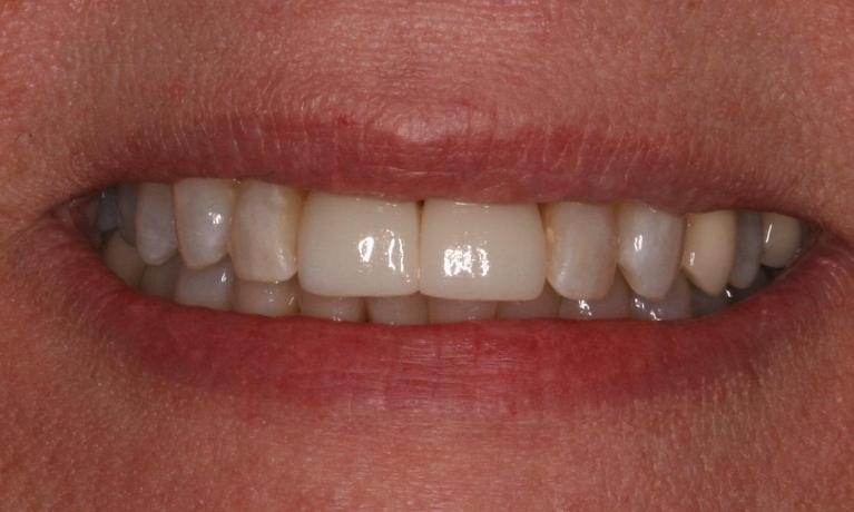
Smile Gallery: Crowns and Bridges

Cosmetic and restorative dentistry is more esthetic and natural looking than ever!

Take a moment to browse through some of our before-and-after cases so that you can discover the possibilities with high-quality dentistry – both for your health and your appearance!

Improve your smile today – call to schedule a consultation!
Excellent
Excellent

Had a crown for the first time, unsure what to expect. Was taken care of by Karen & Dr. Stonestreet. They were very informative very patient, instructed regarding the procedure every step of the way. Also very gentle I was pleasantly surprised. I was anticipating a good deal of pain & happy to say there was none. All of the office staff are always very professional & kind.

-Madelyn O.

If you have difficulty using our website, please email us or call us at (330) 726-8060
View the ADA Accessibility Statement
Privacy Policy