DeChellis & Stonestreet Dentistry
A Great Dentist
Boardman:
(330) 726-8060
Youngstown, OH 44512

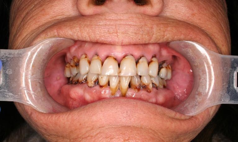
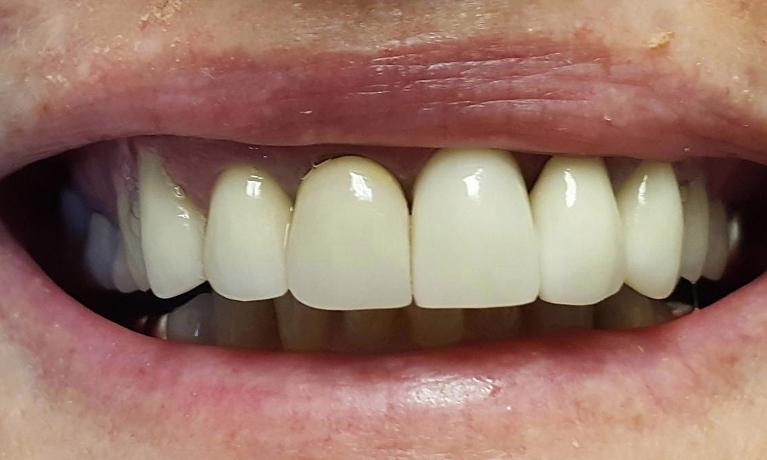
Smile Gallery: Dental Implants

Cosmetic and restorative dentistry is more esthetic and natural looking than ever!

Take a moment to browse through some of our before-and-after cases so that you can discover the possibilities with high-quality dentistry – both for your health and your appearance!

Ready to book an appointment?
Very good dentist top-notch in my book

Everybody was very professional and very nice. Dr. Tom Dechelis did an excellent job on my two fillings I had to have done. This is the following day and I don’t feel any pain or discomfort at all. He is a very good dentist top-notch in my book. thank you again for the wonderful job.
-Phil
 

If you have difficulty using our website, please email us or call us at (330) 726-8060
View the ADA Accessibility Statement