DeChellis & Stonestreet Dentistry
A Great Dentist
Boardman:
(330) 726-8060
Youngstown, OH 44512

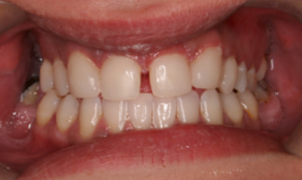
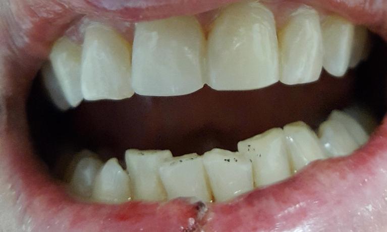
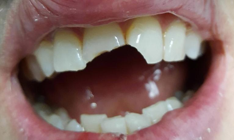
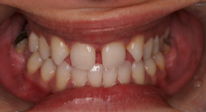
Smile Gallery: Cosmetic Dentistry

Cosmetic and restorative dentistry is more esthetic and natural looking than ever!

Take a moment to browse through some of our before-and-after cases so that you can discover the possibilities with high-quality dentistry – both for your health and your appearance!

Ready to book an appointment?
"...Highly recommend this dental office..."

I had two fillings today and I must say it was one of the best experiences I have ever had with fillings. Dr. DeChellis was great, absolutely no pain, didn't even feel the shot in my gum. Highly recommend this dental office.
-Julie D.

If you have difficulty using our website, please email us or call us at (330) 726-8060
View the ADA Accessibility Statement
Privacy Policy